This is a blog by Yashvir Singh aka Hunny Sulhan, which will share random articles from many different topics from minor to major. Scientific and non-scientific subjects.
New ads.
Saturday, December 28, 2024
Trump's recent remarks about Putin should worry NATO member states
Should America's allies be concerned? President-Elect Donald Trump has made several statements that have caused concern among his allies since his re-election by the American people. However, some of Trump's recent comments have left many NATO member states feeling uneasy.
Friday, December 13, 2024
Canada not a significant source of fentanyl flowing into U.S., CBSA says
Royal Canadian Mounted Police (RCMP) commissioner Michael Duheme testifies at the Foreign Interference Commission in Ottawa on Thursday, Oct. 3, 2024. THE CANADIAN PRESS/ Patrick Doyle
© The Canadian Press
OTTAWA — As Canada looks to beef up its border security after president-elect Donald Trump threatened tariffs while raising concerns about illicit fentanyl pouring into his country, border officials pointed out there's barely any coming from Canada.
Though, none of them wanted to say the name Trump when they said so.
“Canada is not a significant source of fentanyl in the United States," said Aaron McCrorie, vice-president of intelligence and enforcement at the Canada Border Services Agency.
He made the comment to a House of Commons committee studying the impact of president-elect Donald Trump's plans for border security and migration.
McCrorie said border officials seized 4.9 kg of fentanyl in the first three quarters of the year, with the biggest amount being 4.1 kg bound for the Netherlands. The other seizures were all small, personal amounts caught along the land border, and there are no statistics to suggest significant shipments out of Canada.
CBSA President Erin O'Gorman also said the U.S. Drug Enforcement Administration has characterized the amount coming from Canada as "slippage" — small amounts sent over for personal use, mostly by post.
Still, that doesn't trivialize the problem. Small package shipments are where CBSA is focusing its efforts, she said, which are hard to detect and can result in many lives lost.
During the presidential race, Trump also threatened to deport millions of undocumented people, stirring fears that could trigger an influx of migrants into Canada.
When questioned by NDP MP Alistair MacGregor about what Canada could face if Trump follows through and if the country's immigration detention centres are up to the task, O'Gorman said her organization does not have projections or estimates of what that could look like.
“We are prepared for a surge,” O'Gorman said.
Ottawa is compiling new measures to bolster border security through more staff and equipment in the face of Trump's tariff threats.
Prime Minister Justin Trudeau shared his border plan with the premiers during a Wednesday evening meeting, and Ottawa plans to add their suggestions into the soon-to-come package of measures.
Several media outlets have reported that the tab for that could surpass $1 billion, citing confidential sources. RCMP Commissioner Michael Duheme said he was surprised to see that figure bandied about in headlines, but he's not clear whether Ottawa will actually put that much into beefing up the border.
He would not share with reporters any of the specifics on his wish list -- or how much money he's asked for, saying the announcement is coming soon enough.
"You heard the minister in the past saying drones, helicopters, and we want to modernize everything we have with technological equipment and additional human resources," he said outside the committee room.
"We have drones right now that we use to patrol areas that are hard to get to and what not. We just want to modernize the equipment and go to the more advanced technology that they have so we can better secure the border."
An RCMP official said the police force currently has more than 900 drones and nine helicopters located across the country, with six helicopters that occasionally provide border surveillance.
Meantime, Alberta Premier Danielle Smith, when announcing Alberta's own new border security plan Thursday featuring a new patrol unit and drones, said the province doesn’t support retaliatory tariffs and prefers the diplomatic route.
Saskatchewan Premier Scott Moe said he and other premiers support the need for stronger border security to deal with illegal migrants and street drugs.
“There is broad support to increase the investment in border security on behalf of Canadians, not just because President-elect (Trump) has asked for it,” Moe said.
According to the CBSA, there are 1,200 ports of entry across the country staffed by approximately 8,500 front-line employees.
CBSA also employs over 200 criminal investigators and some 60 international officers at 40 missions in 35 countries abroad.
"The CBSA strategically dedicates its resources to address the threats that Canada faces while supporting the flow of legitimate trade and travel across the border," said CBSA spokesperson Rebecca Purdy.
In the past fiscal year, she said CBSA seized close to 51 million grams of illicit drugs, more than 27,000 banned weapons and almost 900 firearms.
This report by The Canadian Press was first published Dec. 12, 2024.
-- With files from Chris Purdy in Edmonton and Jeremy Simes in Regina.
Kyle Duggan, The Canadian Press
Jim Carrey says he’s come out of retirement as he ‘needs the money’
Jim Carrey (AP)
Jim Carrey has given a frank admission about why he has returned for Sonic the Hedgehog 3 after previously announcing his retirement.
The 62-year-old actor confirmed he was ending his acting career in 2022, claiming that Sonic 2, where he plays mad scientist Dr Robotnik, would be his final film.
However, in February it was revealed that he would be returning for the third film in the video game adaptation, which also stars Ben Schwartz, Idris Elba, Keanu Reeves and Colleen O’Shaughnessey.
Carrey has now been quizzed by the Associated Press about his role in the sequel. “You said in a past interview that you’d come back if you got a script written in gold ink written by angels,” the Canadian-born star was asked.
Responding with a laugh, Carrey said: “That might’ve been hyperbole, yeah. I came back to this universe because I get to play a genius, which is a bit of a stretch. And you know, I bought a lot of stuff and I need the money, frankly.’
In a 2022 interview with Access Hollywood, Carrey seemed to be happy to put Hollywood behind him after a decades-long career as a leading man. His biggest hits included Dumb and Dumber, The Mask, Bruce Almighty and Liar Liar.
He also won critical acclaim and award nominations for his roles in The Truman Show, Eternal Sunshine of the Spotless Mind and Man on the Moon.
“Well, I’m retiring. Yeah, probably. I’m being fairly serious. I really like my quiet life and I really like putting paint on canvas and I really love my spiritual life and I feel like – and this is something you might never hear another celebrity say as long as time exists – I have enough. I’ve done enough. I am enough,” he said at the time.
The Sonic the Hedgehog series has been among the biggest hits of his career, with the first two films grossing a combined $725m (£568m) worldwide.
Labels:
‘needs the money’,
as,
come,
he,
he’s,
Jim Carrey,
of,
out,
retirement,
Says
Thursday, December 12, 2024
Britain unleashes futuristic weapon with limitless ammunition for first time in history
A Wolfhound vehicle, on which a laser weapon was mounted and fired by the British Army for the first time (Picture: PA)
A futuristic laser – with limitless ammunition – has for the first time been unleashed on British soil.
British Army soldiers from 16 Royal Artillery have carried out the ‘ground-breaking’ test at Radnor Range in central Wales earlier this week.
Mounted on top of a Wolfhound, a protected troop-carrying vehicle, the unnamed weapon destroyed all hovering drones, serving as a warning to Britain’s enemies.
A single blast is capable of zapping targets out of the sky within seconds, the Ministry of Defence (MoD) said.
The laser works by directing an intense beam of infra-red light in the form of energy towards its target using advanced sensors and tracking systems which maintain lock-on and accuracy in real time.
Expand article logo Continue reading
Unlike conventional munitions, laser weapons are virtually limitless when it comes to ammunition supply, making them much cheaper.
Labels:
ammunition,
Britain,
catastrophic,
everything,
first,
for,
futuristic,
history,
in,
limitless,
Time,
unleashes,
weapon,
With
'Strong person of interest' arrested in killing of UnitedHealthcare CEO
Credit: Altoona Police Department
'Strong person of interest' arrested in killing of UnitedHealthcare CEO Authorities in Altoona, Pa., announced that they had arrested Luigi Mangione on gun charges at a McDonald's in the killing of UnitedHealthcare CEO Brian Thompson. Police say he showed them the same fake ID he used to check into a hostel in New York. Authorities said he had a gun consistent with the one used in the shooting, a passport and what's being called a manifesto that might offer clues to his motivation. NBC News' Stephanie Gosk reports.
Tuesday, December 10, 2024
Who is Luigi Mangione: What to know about the ‘strong person of interest’ in shooting of UnitedHealthcare CEO Brian Thompson
Police followed a series of clues to identify and track down the suspect believed to have fatally shot UnitedHealthcare CEO Brian Thompson, according to the NYPD.
On Monday, police responded to a tip from a McDonald’s employee in Altoona, Pennsylvania, who said they saw a man who looked like the person of interest police have been searching for.
Mangione was eating in the McDonald’s when he was recognized by the employee, police said.
The 26-year-old man was taken in for questioning, and it was discovered that he was in possession of a ghost gun that matches the weapon believed to have been used in the assassination-style killing, officials said at a press conference on Monday.
The person of interest also had supresser for the gun and several fake identification cards, including a New Jersey ID that the NYPD believes was used by the gunman.
The person of interest was pictured in the back of a taxi (EPA)
New York Mayor Eric Adams said that the man in custody matches the description of the person in the photos and that he possessed items connected to the killing.
New York City Police Commissioner Jessica Tisch confirmed Mangione has been arrested on firearms charges.
He is believed to be “our person of interest,” she told the press conference, and said it was down to a “combination of old-school detective work and new age technology” as well as the public that helped lead to the arrest.
Firm warning from Trump to NATO
Firm warning from Trump to NATO
New US President Donald Trump has reiterated that the United States will leave the North Atlantic Alliance if the other NATO countries will not start contributing more.
‘If they pay their bills’ then the US will retain its role in NATO, Trump said in an exclusive interview with US broadcaster NBC. When the interviewer asked if he would leave the alliance if that does not happen, Trump replied in the affirmative. NATO members are supposed to spend 2 per cent of their GDP on defence, but many fail to meet that in reality, and that bothers Trump greatly. The United States alone accounts for 70 per cent of NATO's total budget, so Trump wants the other member states to contribute more.
Saturday, December 7, 2024
A 27-year-old British soldier on Putin's hitlist calls it a 'badge of honour.'
Fraser Good, a British citizen, delivered a defiant message upon learning that his name had been added to a Russian-operated wanted list.
A British veteran has reaffirmed his pride in supporting Ukraine after finding his name and photo on a Russian wanted list.
Fraser Good shared with Metro that being listed in the flawed database is a "badge of honour," symbolizing his service, which has seen him involved in some of the war's fiercest battles.
The list also features British nationals who have died during humanitarian missions or in combat against Vladimir Putin's forces, with some names marked as "destroyed."
Fraser Good served on some of the war's most intense frontlines, including the battle for Kyiv, the liberation of Irpin, and operations near Kharkiv. He suffered severe injuries from a tank round while he and a small group of comrades defended their position against a massive Russian assault in Donetsk.
Reflecting on the list, Fraser remarked: “It would be nice if they could at least get one date right—the details are completely wrong.
“I definitely see being named on the list as a badge of honour.
“If anything, I want the enemy to know who I am, because I am proud to stand with Ukraine.”
The 27-year-old combat veteran from Northamptonshire, who served seven years in the British Army, has been living in Ukraine since March 2022 and is currently out of contract with the military.
He has previously been the focus of Russian propaganda, with false claims circulated twice alleging that he had been killed in the war zone.
Fraser Good has fought in intense frontline battles as part of Ukraine's struggle for freedom.
In a Facebook post, he wrote: "My comrades and I will keep fighting until Ukraine is free. It's as simple as that.
Your propaganda and politics have been tiresome for as long as I can remember. Swipe for a surprise... Yep, that's me.
Still very much alive and smiling, with more than one eye captured this morning. Honestly, you all bore me."
"I take great satisfaction in proving each and every one of you wrong, every single time."
The list, reportedly created by pro-Russian volunteers, contains personal information like phone numbers and email addresses, indicating the data may have been acquired through questionable means, possibly in collaboration with Kremlin sources.
The entries also feature exaggerated criminal charges, likely aimed at justifying severe punishments or enabling exchanges for high-value prisoners held by Ukraine and its allies if these individuals are captured.
Metro interviewed three British nationals and one American, none of whom were aware they were listed.
The website is registered with a Russian URL and an IP address in Rostov-on-Don, a heavily militarized city in southern Russia.
After Russia's full-scale invasion began, Fraser Good left his life in the East Midlands behind to start a new chapter in Ukraine (Picture: Fraser Good, Facebook).
A Scotsman named in the database referred to Putin as "an evil little bastard" after *Metro* informed him of his inclusion.
Mike Marley, a former British Army soldier with 20 years of service who later transitioned to civilian life, shared with *Metro* that he had considered joining the International Legion for the Defense of Ukraine but decided against it.
In November 2023, Russian media reported that hackers from a group called Joker DPR had released the names and personal details of over 500 applicants to the Legion.
*Metro* has contacted the formation for comment.
"They've clearly gained access to documents from people who showed interest in going to Ukraine," said Mr. Marley.
"I was planning to go, but at my age and with my injuries, I decided against it. They must have gotten hold of documents from the International Legion, which probably included my name.
"It's a bit concerning that they've accessed my information.
"However, in practical terms, it likely just means I can't go to Russia now—which I wouldn't want to do anyway."
Labels:
'badge of honour.',
27-year-old,
A,
British,
calls,
hitlist,
it,
on,
Putin's,
soldier
Melania Trump says heading to the White House for the second term is much different than the first
WASHINGTON (AP) — Soon-to-be first lady Melania Trump said Friday that preparing to enter the White House for the second time looks a lot different from the first go-around. Now, she and her husband know what to expect.
“You know what you need to establish, you know what kind of people you need to hire for your office,” she said on “Fox & Friends” in a rare television appearance, where she showed off holiday ornaments she’s selling and her memoir as Christmas approaches.
She said the pace has been fast, as Donald Trump works to build his administration: “It’s incredible and we are very, very busy.” She’s packing up so “we can start on Day 1.”
She said her husband’s attitude after his 2024 win was not the same as when he won in 2016. “The country and the people really supported him,” she said. I think the energy is different. People around him are different.”
The incoming first lady also praised her 18-year-old son Barron, crediting him with helping his father find new ways to reach the audience that elected him president. Trump has four other children.
“He is a grown young man, I’m very proud of him about his knowledge, even about politics and giving advice to his father,” she said. “He brought in so many young people. He knows his generation.”
She described working on her memoirs as a process that was “very personal and could be sometimes very joyful, but also traumatic and hard.”
Drivers stranded on 401 as blizzard pounds parts of southwestern Ontario
Drivers travelling on Highway 401 in southwestern Ontario found themselves stranded for hours as a major snow storm hit the region Thursday causing collisions and closures.
Motorists who spoke to CBC News from their vehicles said they called local and provincial police many times but received no answers, adding they weren't prepared to be stuck for such a long time.
"We are now many hours deep into this, sitting still on the road and nobody has come to check on us," said Craig Sears in an interview from the 401 where he sat with his wife and son enroute to Sarnia.
"I'm a diabetic and we have our son with us who has Aspergers, so he's feeling uncomfortable. It's super anxious for him because we've literally been sitting here for five hours, not getting any responses from police," Sears said.
London and surrounding area faced multiple road closures, crashes and difficult driving conditions throughout the afternoon and night as heavy snowfall blanketed the region. Environment Canada expected an additional 30 cm to fall by morning, with the squalls continuing.
A multi-vehicle crash closed the westbound lanes of Highway 401 near Ingersoll in the afternoon, with police keeping them closed until almost 6 p.m. The OPP said one person was taken to hospital in critical condition.
"I can tell everybody who's stranded right now, their patience is running thin, I totally understand that," OPP Sgt. Sanchuk said urging drivers to stay in their vehicles and to be patient.
"We have officers turning traffic around on our highway right now and we have officers strategically placed to get people off the highway in a safe manner. But please bare with us, we're working as diligently as possible to get the highway cleared."
Traffic 'at a standstill' drivers say
Jackie Lemmink was stuck on the 401, east of London, for more than six hours while officers dealt with the crash. She witnessed multiple additional collisions in front of her before traffic came to a stop.
"It doesn't look like anything's moving," she told CBC London's Afternoon Drive from her vehicle. "There are trucks upon trucks, and there's so much traffic that's at a standstill. People are starting to come out of their cars to find out what's going on because we don't have any idea."
A series of collisions forced the closure of westbound Highway 401 near Ingersoll on Thursday afternoon. Many drivers were left sitting on their vehicles while police dealt with the collisions. (Submitted by OPP)
Lemmink, who was on her way to Michigan, said she opted not to take county roads because she assumed the 401 would be safer due to constantly moving traffic.
"I always thought the 401 is safer because they'll put down salt and they've prepared for this. The snow is quite high and it's quite icy everywhere. I'm not prepared to be stuck here."
Sears said he was forced to turn off his car to save fuel at the 5 hour mark of waiting. He said traffic had begun to crawly slowly around 8 p.m. but that the conditions were still poor.
"It's insane because I've called [police] multiple times. Shouldn't they check on people? Nobody should ever be trapped in their vehicle on a highway for this long, there's no excuse for it," he said.
Police continued to warn people to stay off the roads, and to only travel is absolutely necessary.
Friday, December 6, 2024
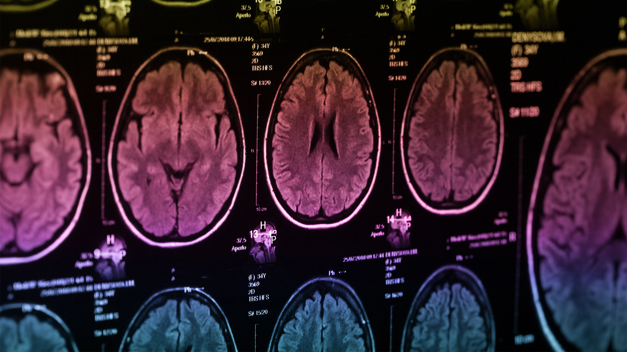
Hidden fat predicts Alzheimer's 20 years ahead of symptoms
Researchers have linked a specific type of body fat to the abnormal proteins in the brain that are hallmarks of Alzheimer's disease up to 20 years before the earliest symptoms of dementia appear, according to a study being presented today at the annual meeting of the Radiological Society of North America (RSNA). The researchers emphasized that lifestyle modifications targeted at reducing this fat could influence the development of Alzheimer's disease.
"This crucial result was discovered because we investigated Alzheimer's disease pathology as early as midlife -- in the 40s and 50s -- when the disease pathology is at its earliest stages, and potential modifications like weight loss and reducing visceral fat are more effective as a means of preventing or delaying the onset of the disease," said lead study author Mahsa Dolatshahi, M.D., M.P.H., post-doctoral research associate at Mallinckrodt Institute of Radiology (MIR) at Washington University School of Medicine in St. Louis, Missouri.
An estimated 6.9 million Americans, aged 65 and older, are living with Alzheimer's disease, according to the Alzheimer's Association. The association estimates this number could grow to 13 million by 2050, barring the development of medical breakthroughs to prevent or cure the disease.
For the study, the researchers focused on the link between modifiable lifestyle-related factors, such as obesity, body fat distribution and metabolic aspects, and Alzheimer's disease pathology.
A total of 80 cognitively normal midlife individuals (average age: 49.4 years, female: 62.5%,) were included in the study. Approximately 57.5% of participants were obese, and the average body mass index (BMI) of the participants was 32.31. The participants underwent brain positron emission tomography (PET), body MRI and metabolic assessment (glucose and insulin measurements), as well as a lipid (cholesterol) panel. MRI scans of the abdomen were performed to measure the volume of the subcutaneous fat (the fat under skin) and visceral fat (deep hidden fat surrounding the organs).
"We investigated the association of BMI, visceral fat, subcutaneous fat, liver fat fraction, thigh fat and muscle, as well as insulin resistance and HDL (good cholesterol), with amyloid and tau deposition in Alzheimer's disease," said Dr. Dolatshahi, a member of the Raji Lab at MIR's Neuroimaging Labs Research Center.
Thigh muscle scans were used to measure volume of muscle and fat. Alzheimer's disease pathology was measured using PET scans with tracers that bind to amyloid plaques and tau tangles that accumulate in the brains of people with Alzheimer's disease. The findings revealed that higher levels of visceral fat were related to increased amyloid, accounting for 77% of the effect of high BMI on amyloid accumulation. Other types of fat did not explain obesity-related increased Alzheimer's pathology.
"Our study showed that higher visceral fat was associated with higher PET levels of the two hallmark pathologic proteins of Alzheimer's disease -- amyloid and tau," Dr. Dolatshahi said. "To our knowledge, our study is the only one to demonstrate these findings at midlife where our participants are decades out from developing the earliest symptoms of the dementia that results from Alzheimer's disease."
The study also showed that higher insulin resistance and lower HDL were associated with high amyloid in the brain. The effects of visceral fat on amyloid pathology were partially reduced in people with higher HDL.
"A key implication of our work is that managing Alzheimer's risk in obesity will need to involve targeting the related metabolic and lipid issues that often arise with higher body fat," said senior study author Cyrus A. Raji, M.D., Ph.D., associate professor of radiology at MIR.
Although previous studies have shown the role of high BMI in damaging the cells of the brain, no similar study has investigated the differential role of visceral and subcutaneous fat or metabolic profile, especially in terms of Alzheimer's amyloid pathology as early as midlife, Dr. Dolatshahi pointed out.
"This study goes beyond using BMI to characterize body fat more accurately with MRI and, in so doing, reveals key insights about why obesity can increase risk for Alzheimer's disease," Dr. Dolatshahi said.
Drs. Raji, Dolatshahi and colleagues are also presenting a study at RSNA 2024 that shows how obesity and visceral fat reduce blood flow in the brain.
In that study, the researchers performed brain and abdominal MRI on cognitively normal midlife individuals with a wide range of BMI and compared whole-brain and regional cerebral blood flow on brain MRI in individuals with high vs. low visceral and subcutaneous fat. The high visceral fat group showed lower whole-brain blood flow. No significant difference was observed in cerebral blood flow in the groups with high vs. low subcutaneous fat.
"This work will have a considerable impact on public health because nearly three out of four Americans are overweight or obese," Dr. Raji said. "Knowing that visceral obesity negatively affects the brain opens up the possibility that treatment with lifestyle modifications or appropriate weight-loss drugs could improve cerebral blood flow and potentially lower the burden of and reduce the risk for Alzheimer's disease."
Other co-authors are Paul K. Commean, B.E.E., Mahshid Naghashzadeh, M.S., Sara Hosseinzadeh Kassani, Ph.D., Jake Weeks, B.S., Caitlyn Nguyen, B.S., Abby McBee-Kemper, B.S., Nancy Hantler, B.S., LaKisha Lloyd, M.Sc., Shaney Flores, M.S., Yifei Xu, M.S., Jingxia Liu, Ph.D., Claude B. Sirlin, M.D., Bettina Mittendorfer, Ph.D., Joseph E. Ippolito, M.D., Ph.D., John C. Morris, M.D., and Tammie L.S. Benzinger, M.D., Ph.D. This study was awarded the RSNA Trainee Research Prize.
The secret to our big brains might be in our gut
Brain tissue is among the most energetically costly in the body, and as a result, larger-brained mammals require more energy to support brain growth and maintenance. Exactly which biological changes allowed human ancestors to meet the very high needs for energy as they evolved larger brains has remained unclear. A new Northwestern University study points to the role of gut microbes, tiny living organisms in our digestive system that help break down food and produce energy.
In a controlled lab experiment, researchers implanted microbes from two large-brain primate species (human and squirrel monkey), and one small-brain primate species (macaque), into mice.
Their findings showed the mice with microbes from large-brain primate species produced and used more energy, while those with microbes from the small-brain species stored more energy as fat.
The data is the first to show gut microbes from different animal species shape variations in biology between animal species and supports the hypothesis that gut microbes might influence evolution by changing how an animal's body works.
The study offers a new perspective on human evolution, particularly the evolution of our large brains.
The findings will be published in the journal Microbial Genomics on Dec. 2.
Prior studies have compared the influence of genes and the environment on primates with bigger and smallerbrains. However, there are very few studies comparing how different primates use energy. Even less information is available on how metabolism develops in different primate species.
"We know the community of microbes living in the large intestine can produce compounds that affect aspects of human biology -- for example, causing changes to metabolism that can lead to insulin resistance and weight gain," said the study's first author Katherine Amato, associate professor of anthropology at Northwestern.
"Variation in the gut microbiota is an unexplored mechanism in which primate metabolism could facilitate different brain-energetic requirements," Amato said.
After introducing the gut microbes into microbe-free mice, the researchers measured changes in mouse physiology over time, glucose, liver function and other traits. They also measured differences in the types of microbes and the compounds they were producing in each group of mice.
The researchers expected to find microbes from different primates would lead to differences in the biology of the mice inoculated with them. They also expected mice with human microbes to have the greatest difference in biology from mice with "While we did see that human-inoculated mice had some differences, the strongest pattern was the difference between large-brained primates (humans and squirrel monkeys) and smaller-brained primates (macaques)," Amato said.
The mice given microbes from the humans and squirrel monkeys had similar biology, even though these two larger-brained primate species are not close evolutionary relatives of one another. This suggests something othermicrobes from the other two than shared ancestry -- likely their shared trait of large brains is driving the biological similarities seen in the mice inoculated with their microbes.
"These findings suggest that when humans and squirrel monkeys both separately evolved larger brains, their microbial communities changed in similar ways to help provide the necessary energy," Amato said.
In future studies, the researchers hope to run the experiment with microbes from additional primate species varying in brain size. They would also like to collect more information on the types of compounds the microbes are producing and gather additional data on the biological traits of the hosts such as immune function and behavior.species.including weight gain, fat percentage, fasting
Thursday, December 5, 2024
Mexico detains more than 5,200 migrants in single day
A drone view shows migrants in a caravan bound to the northern border with the U.S., in Escuintla, Chiapas state, Mexico, December 3, 2024.
MEXICO CITY, Dec 4 (Reuters) - Mexican authorities detained more than 5,200 migrants across the country on Tuesday, officials said on Wednesday, in a major sweep as the nation is under pressure from the incoming U.S. government to crack down on arrivals at the U.S.-Mexico border.
U.S. President-elect Donald Trump has called on Mexico to ramp up efforts to stop both migrants and synthetic drugs such as fentanyl from coming into the U.S., threatening to slap tariffs on the southern trade partner.
From Oct. 1 to Dec. 3, Mexican authorities have apprehended nearly 350,000 migrants, according to the Navy.
Mexican President Claudia Sheinbaum said last week that a recent migrant caravan traveling through the south of the country would not make it north as migration authorities were "tending to" those remaining.
Tuesday's detentions were carried out by the Army, National Guard and state police, the Navy said, in support of migration authorities.
The armed forces have taken on increased responsibilities in public security as of late, particularly in the south, where migrants arrive on foot from Central America.
California Democrat Adam Gray flips Republican seat as final 2024 House race called
FILE -Central Valley Assembly members, Democrat Adam Gray, of Merced, center, and Republican Heath Flora of Ripon, right, confer during the Assembly session at the Capitol in Sacramento in 2022
© AP
Democrat Adam Gray captured California’s 13th Congressional District on Tuesday, unseating Republican Rep. John Duarte in the final U.S. House contest to be decided this year.
Gray’s win in the farm belt seat that cuts through five counties means Republicans won 220 House seats this election cycle, with Democrats holding 215 seats.
Gray won by a margin of less than 200 votes, with election officials reporting Tuesday all ballots had been counted.
Duarte captured the seat in 2022 when he defeated Gray by one of the closest margins in the country, 564 votes. He was often listed among the most vulnerable House Republicans given that narrow margin of victory in a district with a Democratic tilt — about 11 points over registered Republicans.
Gray said in a statement: “We always knew that this race would be as close as they come, and we’re expecting a photo finish this year, too.”
Duarte told the Turlock Journal he had called Gray to concede, adding “That’s how it goes.”
“I’m a citizen legislator, and I didn’t plan on being in Congress forever,” Duarte told the newspaper, though he didn’t rule out a possible future campaign.
In a tough year for Democrats nationally, the party picked up three GOP-held House seats in California.
Both Gray and Duarte stressed bipartisan credentials during the campaign.
Gray, a former legislator, was critical of state water management and put water and agriculture at the top of his issues list. He also said he wants improvements in infrastructure, renewable energy and education.
Duarte, a businessman and major grape and almond farmer, said his priorities included curbing inflation, crime rates and obtaining adequate water supplies for farmers in the drought-prone state.
There is a large Latino population in the district, similar to other Central Valley seats, but the most likely voters statewide tend to be white, older, more affluent homeowners. Working-class voters, including many Latinos, are less consistent in getting to the polls.
The Independent has always had a global perspective. Built on a firm foundation of superb international reporting and analysis, The Independent now enjoys a reach that was inconceivable when it was launched as an upstart player in the British news industry. For the first time since the end of the Second World War, and across the world, pluralism, reason, a progressive and humanitarian agenda, and internationalism – Independent values – are under threat. Yet we, The Independent, continue to grow.
Labels:
2024,
Adam,
as,
California,
called,
Democrat,
final,
flips,
Gray,
House,
race,
Republican,
seat
Judge weighs whether to order Fani Willis to comply with lawmakers' subpoenas over Trump case
Georgia Election Indictment Lawmakers
ATLANTA (AP) — A judge is weighing whether a Georgia state Senate committee has the right to subpoena testimony and documents from Fulton County District Attorney Fani Willis as it looks into whether she has engaged in misconduct during her prosecution of President-elect Donald Trump.
The Republican-led committee sent subpoenas to Willis in August seeking to compel her to testify at its September meeting and to produce scores of documents. The committee was formed earlier this year to examine allegations of “various forms of misconduct” by Willis, an elected Democrat, during her prosecution of Trump and others over their efforts to overturn the former president’s 2020 election loss in Georgia.
That prosecution of the president-elect is currently on hold pending a pretrial appeal of an order allowing Willis to remain on the case despite what defense attorneys say is a conflict of interest. Even if the appeals court rules in Willis' favor, it seems unlikely she will be able to continue the case against Trump while he's in office.
Willis' attorney, former Democratic Gov. Roy Barnes, told Fulton County Superior Court Judge Shukura Ingram during a hearing Tuesday that although the Georgia General Assembly has subpoena power, that power is not automatically conferred on a single legislative chamber or its committees. Even if the committee did have such power, he argued, the subpoenas in question are overly broad and not related to a legitimate legislative need
Barnes said the focus on Willis and her investigation into Trump shows that the committee was politically motivated and not a legitimate inquiry into the practices of district attorneys' offices: “What they were trying to do is chill the prosecution of Donald Trump and find out what they had.”
Josh Belinfante, a lawyer representing the lawmakers, said there is nothing in the Georgia Constitution that prohibits the Senate from issuing a subpoena. The duly formed interim committee is looking into whether new legislation is needed to regulate the practices of district attorneys' offices in the state, he argued.
“They are investigating and making an inquiry into these allegations that may show that existing state laws, including those establishing the processes for selecting, hiring and compensating special assistant district attorneys, are inadequate,” Belinfante said.
The resolution creating the committee focused in particular on Willis’ hiring of special prosecutor Nathan Wade, with whom she had a romantic relationship, to lead the prosecution against Trump and others. It says the relationship amounted to a “clear conflict of interest and a fraud upon the taxpayers” of the county and state.
One of the committee’s subpoenas orders Wills to produce documents related to Wade, including documents related to his hiring and payment, documents related to money or items of value that Wade and Willis may have exchanged, text messages and emails between the two, and their phone records.
The committee also requested any documents her office sent in response to requests from the U.S. House, as well as communications Willis and her office had with the White House, the U.S. Justice Department and the House relating to the 2020 presidential election. And they asked for documents related to federal grant money Willis’ office has received.
Before the deadlines in the subpoenas, Willis challenged them in court. Willis’ challenge was pending in mid-September when she skipped a hearing during which the committee members had hoped to question her.
In October, the committee asked Ingram to require Willis to comply with the subpoenas. The committee’s lawyers wrote in a court filing that Willis’ failure to do so had delayed its ability to finish its inquiry and to provide recommendations for any legislation or changes in appropriations that might result.
Barnes also argued that once the regular legislative session has adjourned, which happened in March this year, legislative committees can meet to study issues and come up with recommendations but do not have the power to compel someone to appear or produce documents. Belinfante rejected that, saying the state Constitution expressly permits the creation of interim committees and allows them to make their rules.
Even if these subpoenas were validly issued, Barnes argued, they ask for too much, including private and personal information that is not a legitimate target of a legislative subpoena.
Belinfante said the lawmakers are simply trying to do their jobs. He asked that Willis be ordered to appear before the committee in early January. He also asked that she be ordered to provide the requested documents and explain what privilege justifies any that are excluded.
With a glaring lack of state case law on the issue of the General Assembly's subpoena power, that's one issue Ingram will have to address. She said she will consider the arguments and release her order as soon as she can.
Willis and Wade have acknowledged that they had a relationship but have said it began after he was hired and ended before the indictment against Trump was filed.
Trump and other defendants argued that the relationship created a conflict of interest that should disqualify Willis and her office from continuing with her prosecution of the case. Fulton County Superior Court Judge Scott McAfee ruled in March that Willis’ actions showed a “tremendous lapse in judgment,” but he did not find a conflict of interest that would disqualify Willis. He said she could continue her prosecution as long as Wade stepped aside, which he did.
An appeal of that ruling to the Georgia Court of Appeals remains pending but must be decided by March.
The United States is paralyzed...and it's not going to get any better
The United States is paralyzed...and it's not going to get any better
The “Lake Effect” phenomenon is currently sweeping across the northeastern United States.
The "Lake Effect" has resulted in an exceptional snowstorm, paralyzing part of the country, including Ohio, Michigan, Pennsylvania and New York - all regions bordering the Great Lakes.
As reported by 20 Minutes, the “Lake Effect” occurs when cold winds cross the relatively warm waters of the Great Lakes. Air masses are created that capture the moisture in the lakes, which then condenses into snow when they hit the cold lands downstream. The amount of snowfall, mostly concentrated in narrow but intense bands, then increases sharply.
Exceptional snowfalls
Because temperatures on the Great Lakes are currently higher than the seasonal average, the meteorological phenomenon gains in energy and power, leading to substantial snowfalls.
In some regions, snowfalls have reached 90 centimetres, and could even reach 2 metres by the end of the week. The consequences? Freeways are at a standstill, forcing drivers to spend the night in their cars or seek refuge in service stations. Heavy goods vehicles are also banned from certain main roads.
What about the future?
In the future, climate change could have a major impact on both the frequency and intensity of snowstorms associated with the lake effect.
Shorter winters and longer periods of ice could help intensify the phenomenon. In the long term, if temperatures continue to rise, the snow could turn to rain, threatening the regions concerned with major flooding.
Until the end of the week, and according to weather forecasts, snowfalls and strong winds are expected to continue to hit this part of the United States.
Monday, December 2, 2024
‘No movement at all’: Snowstorms in Ontario’s cottage country strand motorists, drop more than a metre of snow
This photo provided by the Ontario Provincial Police shows vehicles stranded on Highway 11.
Communities in cottage country north of Toronto continued to dig out Sunday after multiple days of intense snowstorms stranded motorists on Highway 11 and left thousands in the dark.
Hamilton resident Dan Vucic told the Star he has been stuck on the highway in Gravenhurst, Ont. — which has seen a whopping 140 centimetres of snow since Friday, according to Environment Canada — for over 24 hours.
“OPP police on snowmobiles passed by and they said be ready for a long wait,” Vucic told the Star over the phone Sunday afternoon, before adding “there’s not much I can do now, just wait on the highway.”
Vucic has a bed and plenty of food prepared in his truck and said, “I’ve been stuck before, I never leave unprepared.”
“It’s probably about two and a half feet. There’s no movement at all,” Vucic said. He said he doesn’t think he’ll be out until Monday.
Gravenhurst was one of the hardest hit communities from the multi-day “lake-effect snow squall event” that Environment Canada has been warning about since Friday, leading the town to declare a state of emergency.
Mayor Heidi Lorenz says she has never seen this much snow in her 27 years as a resident.
“The snow banks outside my home, mind you I’m not very tall, but they’re as tall as I am. In two days we got that much snow,” said Lorenz.
Lorenz decided on the emergency declaration — the first time she’s done so as mayor — around 2 a.m. Sunday morning after realizing Highway 11 was not opening up anytime soon and many people were still stranded.
It was unclear how many people were still stranded as of Sunday, though an OPP police spokesperson suggested some had been stuck overnight. Police and city officials have not reported any serious injuries due to the storm.
People who requested help had been pulled from the highway by Sunday morning as work continued into the afternoon to tow the last abandoned cars, said Brookyln Harker, OPP Central Region’s media relations co-ordinator.
Premier Doug Ford said the province was working closely with local authorities to help them respond to the storm. Ford said he was relieved no injuries or deaths had been reported.
“As cleanup crews continue their work, the best thing people in the area can do is stay home and stay safe until power is restored and roads and highways have been safely opened again,” he said in a statement posted to social media.
Highly recommended visit this source link to know more!
Labels:
‘No movement at all’,
A,
cottage,
country,
drop,
in,
metre,
more,
motorists,
of,
Ontario’s,
snow,
Snowstorms,
strand,
than
Mitch Marner “pissed off” at head coach Craig Berube
Mitch Marner “pissed off” at head coach Craig Berube.
Things are going pretty well for the Toronto Maple Leafs this season with the Leafs sitting just 1 point back of the defending Stanley Cup champion Florida Panthers in the National Hockey League’s Atlantic Division, all while having played 2 fewer games than the Panthers this season.
Not only is the team doing well in the standings but you can tell from the body language and comments coming from the team that there is a pretty positive atmosphere in the Maple Leafs locker room as well, and on Saturday night we got perhaps the best example of that yet during the post game media availability from Maple Leafs head coach Craig Berube.
Berube was nearly the victim of friendly fire on several occasions during the course of the game and he was asked about that by a reporter following the conclusion of Saturday night’s win over the Tampa Bay Lightning. Berube admitted that he nearly got hit a few times during the course of the game.
“I almost got hit twice,” said the Leafs bench boss.
Berube pointed the finger of blame at one of his star players for the friendly fire, joking that he perhaps wasn’t giving him enough ice time.
“I gotta talk to Mitch,” said Berube with a smile. “I don’t know if he’s pissed off at me or what. I guess he needs more ice time.”
Berube’s response elicited a laugh from the assembled members of the media and caused the normally very serious Berube to smile from ear to ear while making the comments.
Although I’m sure Berube would probably prefer to not be the target of pucks flying over the Maple Leafs bench, it is a good sign for the team as a whole that their head coach was in such a positive mood after nearly being taken out by one of his star players.
Saturday, November 30, 2024
Prince Harry and Meghan Markle's Christmas wish they know will never happen
The Duke and Duchess of Sussex are expected to spend Christmas in Montecito with their two children and Meghan Markle's mum.
Prince Harry and Meghan Markle reportedly have one Christmas wish (Image: Stephen Pond/Getty Images)
Prince Harry and Meghan Markle are likely to have begun finalising their Christmas plans, which will most likely see the couple and their two children stay in California for the festive season.
While they have not spoken outright about how they will spend the big day next month, it is believed the duke, 40, and duchess, 43, will be at their Montecito home with Meghan’s mum Doria, alongside their children Prince Archie, five, and Princess Lilibet, three.
n a recent chat with a fashion magazine, Meghan revealed how she loved the holidays, especially as the children were now old enough to understand what was going on.
However, while the family are set to have a fun day, there is one Christmas wish the couple - who quit life as senior royals in 2020 - reportedly share that they know can never happen now.
A source exclusively told OK! Magazine: “They both really wish that they could have all their families together and have a huge Christmas but they know that will never happen. So they have to make new memories and traditions with their children and those close to them.”
This year marks the sixth year Prince Harry has not been with his own side of the family for the big day, with the prince having previously spent the special occasion at Sandringham along with the rest of the Royal Family.
However, this has not happened since 2018, the same year he married Meghan Markle in a star-studded Windsor ceremony.
Labels:
and,
Christmas,
happen,
know,
Meghan Markle's,
never,
Prince Harry,
they,
will,
wish
Canada Post strike hits charity fundraising during crucial holiday donation push
The Canada Post strike is expected to continue as parties remain “too far apart on critical issues” to reach a deal, according to Labour Minister Steven MacKinnon.
In a post on X Wednesday, he said the special federal mediator has temporarily suspended his mediation.
“This pause in mediation activities will hopefully permit the parties to reassess their positions and return to the bargaining table with renewed resolve,” reads the minister’s post.
He wrote that he has asked the parties to meet at his office, where he will tell them that “they alone” are responsible to find a solution to the deadlock.
“As soon as productive bargaining can begin anew, the special mediator will re-engage the parties. Canadians are counting on them to create these conditions quickly.”
Speaking to reporters later in the day, MacKinnon said the government does not plan to force a result through binding arbitration, as it did when port workers went on strike earlier in November, and when rail workers went on strike in August.
Still, he voiced his frustration that Canadians are still waiting on the Crown corporation to get back to business.
“These parties have had access to the best mediation services that it is possible to have. They have had time. And it is like both parties don’t realize that the business plan, and business proposition, of Canada post hasn’t changed,” he said.
“They need to reach a ratifiable agreement.”
The strike began nearly two weeks ago. The postal workers’ union, CUPW, says it wants salaries brought in line with inflation, an increase in paid medical days, better benefits, and to prevent the company from using private contractors.
In a recent progress update, the union said that a labour relations manager suggested Canada Post could contract out parcel delivery on weekends.
“The comment was taken as a threat by CUPW Negotiators,” reads the summary.
The union also wants Canada Post to hire more full-time staff, arguing that the company has steadily increased the number of temporary hours at most of its locations “despite retention problems and training costs during bargaining.”
In its own update, Canada Post says it has maintained a robust full-time workforce despite falling revenue and serious market competition.
“Approximately 95 per cent of delivery teams are full-time,” reads the emailed update, provided to CTV News on Tuesday evening.
“Throughout these negotiations, Canada Post has put forward detailed proposals to bring more flexibility to its outdated, mail-based delivery model. These changes are necessary to better compete in the parcel business, better serve Canadians, and drive much-needed revenue growth.”
The company evaluated its losses at more than $3 billion since 2018, adding that it incurred a $315 million pre-tax loss in the third quarter of 2024.
Canada Post also said it has delivered an estimated 10 million fewer parcels since the strike began, based on last-year’s data.
Labels:
Canada Post,
charity,
crucial,
donation,
during,
fundraising,
hits,
holiday,
push,
strike
Italy revokes over 3,000 applications from non-EU workers in smuggling crackdown
MILAN, Nov 28 (Reuters) - Italian police said on Thursday they had blocked and revoked 3,339 applications for the arrival of non-EU workers in Italy as part of an investigation into the smuggling of illegal immigrants by organised crime.
The alleged false requests to hire non-EU labourers were submitted by 142 different Italian companies in the agriculture, construction, and home care sectors, Carabinieri and Guardia di Finanza police said in a joint statement.
According to an investigation by anti-Mafia prosecutors in the southern city of Salerno, the companies were being used by several local criminal groups - from which one million euros ($1.05 million) in cash was already seized in July - to smuggle non-EU migrants into Italy.
Police measures allow the 29 Italian provinces involved in the investigation to block issuing current permits and revoking those that had already been granted, the statement said.
Italy's interior minister last month said the Group of Seven (G7) rich democracies will to set up specialised police units aimed at investigating migrant trafficking in order to tackle irregular flows.
Prime Minister Giorgia Meloni's right-wing government, which holds the G7 rotating presidency this year, has sought cooperation with the European Union and African governments to crack down on human traffickers.
Meloni last year signed a deal with Albania to build reception camps there, but the rulings taken so far by the Italian courts have frustrated the government's efforts to pursue its flagship plan to crackdown on irregular arrivals.
p says Mexico's president promised to close the border. She begs to differ.
In what looks like a case of “he said, she said,” President-elect Donald Trump and Mexican President Claudia Sheinbaum appear to have starkly different recollections of a conversation that covered the hot-button issue of migration.
After the phone chat late Wednesday, Trump wrote on social media that the Mexican leader had agreed to stop immigration through Mexico and to the United States.
“Just had a wonderful conversation with the new President of Mexico, Claudia Sheinbaum Pardo. She has agreed to stop Migration through Mexico, and into the United States, effectively closing our Southern Border,” he said in a post on Truth Social. “It was a very productive conversation!”
Sheinbaum’s account differed from Trump’s.
“In our conversation with President Trump, I explained to him the comprehensive strategy that Mexico has followed to address the migration phenomenon, respecting human rights,” she said on X. “We reiterate that Mexico’s position is not to close borders but instead build bridges between government and people.”
Earlier, Sheinbaum said she’d had an “excellent conversation with President Donald Trump.”
“I shared with him that caravans weren’t arriving at the northern border because they are being served in Mexico,” she said in the post, referring the large groups of migrants traveling together in hopes of reaching the U.S.
Friday, November 29, 2024
Taylor Swift fans slam Billboard for ‘undermining’ pop star’s achievements with Greatest Pop Star ranking
The magazine, which has been rolling out its list of “25 Greatest Pop Stars of the 21st Century,” revealed Swift as the number two spot on Tuesday (November 26).
“After crossing over from country music to pop music at the turn of the 2010s, @taylorswift achieved success like we’ve never quite seen before, in either shape or size,” the outlet wrote on Instagram. “Billboard looks back at the century in Swift, who took pop stardom to places we hadn’t previously thought possible.”
The “I Can Do It With a Broken Heart” singer, 34, was ranked ahead of Rihanna (No. 3), Drake (No. 4) and Lady Gaga (No. 5). The list also includes Katy Perry (No. 25), Ed Sheeran (No. 24), Bad Bunny (No. 23) and One Direction (No. 22).
While the outlet has yet to reveal its top artist, readers are expecting it to be Beyoncé. According to the outlet, the list is completely subjective and all based on staff picks.
Still, fans are taking the rankings to heart, with Swifties flocking to Billboard’s Instagram post to slam the publication for not naming Swift as No. 1.
“Taylor deserved #1,” one fan argued, while a second commented: “Shame on you, Billboard! Taylor Swift is redefining the music industry, shattering records, and transforming everything she touches. Yet, you felt the need to undermine her achievements. For any artist worldwide, #2 on your list would be a monumental accomplishment — except when it’s Taylor, the very reason your relevance endures.”
“2nd? The only artist to occupy the entire top 10 of your chart twice,” a second noted, with a third writing: “Are you guys joking with this? Taylor deserved number 1
However, some fans reasoned that Swift’s ranking was fair, like one person who said: “If the list was based solely on charts and mathematics, we could say Taylor. But if we consider cultural impact, artistic influence, legacy, longevity, vocals, live performances, the greatest-of-all-time lists, the appreciation of her peers, that substantial aspect that goes beyond objective stats; it’s obviously Beyoncé.”
“Beyonce is great, no doubt,” another argued. “But Taylor is clear by all metrics. Sales? Streams? Tour? Etc, plus she holds several records. Taylor is clear by a landslide and she deserves number 1.”
Earlier this month, Hailey Bieber mocked Billboard after it announced Justin Bieber was No. 7 on its list.
“Billboard is a f***ing joke as per usual!” wrote Bieber’s wife of six years in a since-deleted comment below the post.
3 Oilers players who could be dangled in a potential trade
The Edmonton Oilers will be very involved in trade discussions in the months leading up to the NHL’s Trade Deadline, but who do they have to give up?
After a disappointing start to the season, the Oilers could use some reinforcements to their defensive group. It was reported late last month that Edmonton GM Stan Bowman was “aggressively” working the trade market to improve this Oilers team, and now we have our first target.
The Pittsburgh Penguins appear to be on the verge of a fire sale after a poor start, with defenceman Marcus Pettersson being a likely candidate to be shipped out. The Athletic’s Josh Yohe, who covers the Penguins, mentioned that the Oilers have shown interest in the 28-year-old Swede.
Yohe also mentioned that the Vancouver Canucks are showing interest alongside Edmonton.
Pettersson is in the final year of a five-year contract that carries a cap hit of $4.025 million and has been among Pittsburgh’s best players early in the season. He is currently getting top-pairing minutes with the Penguins alongside Erik Karlsson. Pettersson has a goal and eight points in 20 games this season.
Pettersson leads all regular Pittsburgh defenders with a 56.54 expected goals-for (xGF) and a 57.79 high-danger chances-for percentage (HDCF%) at five-on-five, according to Natural Stat Trick.
Those rates would put him ahead of Darnell Nurse on the Oilers.
Pittsburgh would be looking to bolster their defensive ranks in any trade that saw Pettersson go the other way. Edmonton could potentially send over a package that includes a first-round pick and perhaps one of Sam O’Reilly or Matt Savoie to entice Penguins GM Kyle Dubas.
Savoie would most likely be the more appealing option, as he holds the distinction of being a former top-10 draft pick. Edmonton will have to be careful in offloading their top prospects; however, as the team’s pipeline for young talent is already quite bare, it is risky, considering Pettersson is set to become a free agent this summer.
Outside of the cost, adding Pettersson would make a world of sense for the Oilers. He would slot in perfectly as a second-pair defenceman and plays a solid defensive style that should blend well with Nurse. The only issue is that the Swede is a left-handed defenceman, meaning one of him or Nurse would have to play their off-side to make that work.
Oilers head coach Kris Knoblauch has shown a willingness to play defenceman on their off-side this year, with Brett Kulak playing RD beside Nurse despite being left-handed. Perhaps the same thing could be done with Pettersson.
The NHL’s trade deadline is still months away, but it’s encouraging that Bowman is reportedly targeting a guy like Pettersson, as he represents a player who would go a long way toward filling some of Edmonton’s most glaring holes.
Saturday, November 16, 2024
Hello guys! i am back!
Hello everyone!
It feels amazing to finally be back! After a little break, we’re kicking things off again with fresh energy and new ideas. Whether you’ve been with us from the beginning or you’re just discovering the blog now, I’m thrilled to have you back!
What’s New?
In the time since we last posted, we’ve been brainstorming new content, refining ideas, and setting exciting goals for the blog. There’s a lot in store, including:
Fresh Perspectives: Look forward to more in-depth articles on latest science advancements news along with my personal life storoes. and place where i live.
Interactive Features: I’m also planning to introduce polls, Q&As, and more ways for you to engage directly with the content.
Guest Contributions: I’ll be collaborating with some incredible writers and experts, so stay tuned for some guest posts you won’t want to miss.
Why the Break?
It’s been a while since our last post, and I want to thank you all for your patience. Life sometimes throws curveballs, and I needed to step back, recharge, and refocus. But don’t worry — the break gave me the time I needed to come back stronger than ever.
What’s Coming Next?
We’ve got some amazing content lined up, and I can’t wait to share it with you. Here’s a sneak peek of what’s to come:
A deep dive into [latest science news.
A helpful guide on how to statart your own blog.
A behind-the-scenes look at something very interesting.
Stay Connected!
If you’re new here, welcome! Feel free to check out some of our older posts, and don’t forget to subscribe so you never miss an update. And if you’ve been following the blog for a while, I’d love to hear your thoughts on what you’d like to see more of in the future!
Thank you again for your support. I’m so excited to get back to sharing content with all of you. Let’s make this next chapter of Indefiniteinfo the best one yet!
See you in the next post!
Warmly,
Hunny Sulhan
THERE IS A MAJOR GLITCH IN THE BLOGGER NOW, YOU CAN'T UPLOAD A IMAGE NOW! EVEN IF YOU DO THERE ARE CODES WRITTEN!! so annoyed with it! me. :-(
Mike Tyson Vs. Jake Paul
Mike Tyson vs. Jake Paul was plagued by Netflix buffering issues, unrealistic expectations, and the disappointing reality of watching a boxing match between two unmatched opponents.
Subscribe to:
Comments (Atom)







